Promega Notes
Explore research trends based on Promega technologies, read customer stories and make your life in the lab a little easier with technical articles.
Feature Article
Developing Effective Degrader Compounds
This review discusses the kinetics of targeted protein degradation and summarizes the key types of degrader compounds being studied in drug discovery.
Research Highlights
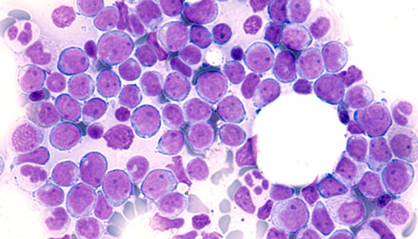
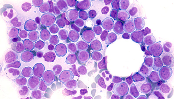
Innovative Evaluation of Selinexor and JQ1 Synergy
The study tested a combination of Selinexor, a selective XPO1 inhibitor, and JQ1, a BET bromodomain inhibitor, in acute myeloid leukemia.
Customer Spotlight
Interviews and case studies featuring novel ways in which our customers are using Promega products
Dr. Richardson’s team used NanoBiT® PPI technology to evaluate potential drug candidates in live cells.
Promega Connections: Highlights
Blog posts that discuss peer-reviewed scientific studies.
Application Notes
Protocols and data from our Scientific Applications team
Measurement of NAD/NADH in Whole Blood
Publications Featuring Promega
Recent publications that used Promega products in their research.